top of page
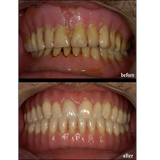
Denture Repairs
Do you have a broken denture? Our Technicians can fix it!
1 hr1 hEasy Smile Studio|Jamaica Avenue|Ocean Parkway
90 US dollars
$90
Service Description
We are able to fix many existing dentures, please give us a call, or text us a photo of the broken denture.






Contact Details
2067 McDonald Avenue, Brooklyn, NY, USA
175-15 Jamaica Avenue, Queens, NY, USA
749 Ocean Parkway 2nd fl, Brooklyn, NY, USA
bottom of page

.png)